91吃瓜

搜索

您的关键词

科研动态
       本网讯(通讯员 张灵然)低温尤其是倒春寒是造成小麦减产的重要因素之一。然而,近年来极端天气的频繁出现,致使小麦产量受到严重影响,其中2023年初,全国多地出现低温冻害,造成小麦植株大面积死亡,严重影响了我国小麦产量。因此,挖掘调控小麦低温抗性相关基因并解析其调控机制能够为小麦低温抗性育种提供重要基因资源和技术支撑。
       近日,91吃瓜 陈锋教授课题组在国际著名学术期刊Advanced Science在线发表了题为“A TaSnRK1α modulates TaPAP6L-mediated wheat cold tolerance through regulating endogenous jasmonic acid”的研究性文章。该研究克隆了2个低温抗性关键基因TaSnRK1α和TaPAP6L,并进行了低温响应功能证实和调控机制解析,由此提出TaSnRK1α-TaPAP6L模块通过调控茉莉酸(JA)含量增强小麦低温抗性的新机制,为我国小麦抗逆育种提供了重要基因资源,同时也为小麦低温响应的遗传基础和调控机理解析提供一定的理论基础。
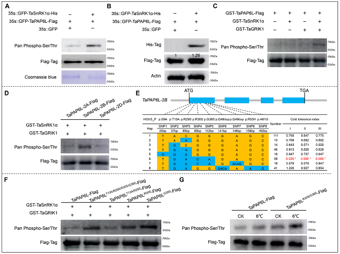
       该研究通过整合GWAS和BSR-Seq数据结果,得到了3个冷胁迫相关基因。VIGS对3个候选基因进行初步功能验证后得到一个低温响应正调控基因TaSnRK1α,并通过EMS突变体、过表达和基因编辑实验,证明TaSnRK1α正向调控小麦低温抗性。
       通过酵母双杂筛库,发现与TaSnRK1α与TaPAP6L蛋白互作。进一步通过体内外实验,验证了TaSnRK1α可以磷酸化TaPAP6L,并发现TaSnRK1α能够促使TaPAP6L蛋白丰富度增加。通过体外磷酸化比较TaPAP6L在不同亚基因组的3个同源基因,发现TaPAP6L-2B在调控小麦低温中可能发挥相对重要作用。结合对480份小麦品种中的TaPAP6L-2B测序结果,鉴定一个优势单倍型TaPAP6L-2BR30S/G38S,体外磷酸化实验证实R30S和G38S是影响TaPAP6L-2B低温抗性的重要磷酸化位点。
       通过TaPAP6L-EMS和TaPAP6L-OE株系的低温表型实验,证明TaPAP6L正向调控小麦低温抗性。由于前人报道PAP6L可能影响植物JA含量,本研究对TaSnRK1α和TaPAP6L的过表达植株和突变体进行JA含量测定,结果显示JA在过表达材料中显著上升,在突变体材料中显著下降。为了揭示TaPAP6L响应小麦低温的机制,对TaPAP6L-OE和野生型进行了差异转录组,其结果表明,TaPAP6L-OE可能通过促进α-亚麻酸的积累和抑制JA的降解来提高JA含量。对Fielder、TaSnRK1α-Cas9、TaPAP6L-EMS突变体和TaPAP6-OE株系进行喷施外源JA。结果表明,外源JA显著提高了小麦植株的低温抗性。
       91吃瓜 在读博士生张灵然和青年教师张宁副教授为论文的共同第一作者;91吃瓜 陈锋教授为通讯作者,硕士研究生王思圣、田红燕、刘璐及青年教师裴丹、余晓东和赵磊副教授参与了此项工作。本研究得到了国家自然科学基金(32072057和31971947)、国家重点研发计划(2019YFE0118300)、河南省重大科技专项(222102110026)的资助。
       全文链接://doi.org/10.1002/advs.202303478
编辑/朱瑞萍 签审/李浩贤